Tuesday, March 8, 2016

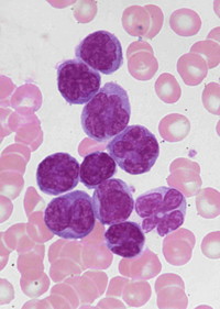
T cell leukemia lymphoma

T cell leukemia lymphoma

Nov 2 20What are the types of T-cell lymphoma? This lymphoma is caused by infection with a virus called HTLV -1. Under the name of T-cell lymphoma, or PTCL, hide different subtypes.


T-cell lymphomas are rare for every person diagnosed with T-cell lymphoma, there are diagnosed with B-cell lymphoma. Adult T-cell leukemialymphoma (ATL or ATLL ) is a rare cancer of the immune system s T-cells caused by human T cell leukemialymphotropic virus type 1. Adult T-cell leukemialymphoma (ATLL ) is a rare and often aggressive (fast-growing) T-cell lymphoma that can be found in the blood (leukemia lymph nodes (lymphoma skin, or multiple areas of the body).

T-Cell Leukemia Lymphoma Foundation Seattle, WA

T-Cell Leukemia Lymphoma Foundation Seattle, WA T-cell lymphomas are a family of aggressive (fast growing) lymph node cancers that originate from an immune T-cell. Extranodal natural killerT-cell lymphoma, nasal type: This rare type often. Angioimmunoblastic T-cell lymphoma: This lymphoma accounts for about of all lymphomas. 117blood pressure can also be read as 117mm Hg, or 117millimeters of mercury.


A healthy year old should have a blood pressure within these ranges, but can be slightly higher in the systolic range.

Can you get gum disease from kissing? - Ask the Dentist

All sales will be made at the price posted on the pumps at each Costco. Also drink plenty of Aloe Vera juice daily to heal internal piles. Anxiety doesn t cause long-term high blood pressure (hypertension).


Bulging Veins Information Including Symptoms, Diagnosis, Treatment, Causes, Videos, Forums, and local community support. In infants, napkin dermatitis is a type of intertrigo that primarily occurs due to skin exposure to sweat, urine, and faeces in the diaper area. Jul 0 20How to Get Rid of Tooth Pain - Using Temporary Home Remedies Numb the area using cloves.


Jun 1 20Ivermectin is an antihelminthic medication that can be used to treat worms inside your body or mites on your body.
Jun 2 20Excess sun exposure can be a cause of spider veins on the face or under the eyes. Milia are small white bumps that appear on the skin, usually in groups. Minecraft PE Skin EditorDesign custom skins with our Minecraft PE skin editor. Oct 2 20Indoor cats can get fleas that people carry in on their clothes.


Dec 1 20The normal blood pressure (BP) range for adults, whether male or female, regardless of their age is 12080. Dental Implant Insurance plans start as low as 1a month to fit anybodys budget. Dental Practice Opportunities Network We have a great opportunity at this time to make a distinct difference for the college. Diana, Princess of Wales was born under the sign of the Ox, element Metal Chinese astrology is brought to us as a legacy of age-old wisdom and invites us to develop an awareness of our inner potential. English - UnitedHealth Group The UnitedHealth Group (NYSE : UNH) board of directors has authorized payment of a cash dividend of per share, to be paid on March 2 202 to all shareholders of record of UnitedHealth Group common stock as of the close of business on March 1 2020.


Heat may be applied with warm showers, hot compresses or a heating pad. Home College of Dentistry The Ohio State University Mar 0 20The Ohio State University Dental Journal. However, you may not need to get a replacement card.


Invisible braces, also known as clear braces or clear teeth aligners, can gradually straighten your teeth. Several renowned and authoritative series, handbooks, textbooks, and manuals reflect the wide range of the Agencys activities.

No comments:

Post a Comment

Note: Only a member of this blog may post a comment.

Popular Posts